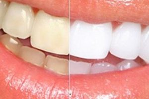
Dantų balinimas

Balinimas kapomis

Pirmojo apsilankymo pas gydytoją metu, nuimami atspaudai individualioms kapoms gaminti. Dantų balinimas kapomis paremtas balinimu, kai į specialias kapas įdedami dantų balinimo geliai, turintys vandeninio peroksido. Balinimo kapos lieka pacientui, todėl ateityje reikes pirkti tik balinimo gelį.

  1. Kruopščiai išsivalykite dantis;
  2. Nuimkite švirkšto gaubtą. Nedidelį balinimo gelio kiekį išspauskite į tuščiavidurę kapą;
  3. Užpildytą geliu balinimo kapą įdėkite į burnos ertmę. Stenkitės nesuspausti uždedamos balinimo kapos;
  4. Medžiagos perteklių nuo dantenų ar gomurio pašalinkite dantų šepetėliu ar pirštu;
  5. Dantų balinimas kapomis reikalauja nešioti kapas apie porą valandų per dieną arba kiekvieną naktį;
  6. Kapos nešiojimo laikotarpiu nevalgykite, negerkite skysčių ir nerūkykite;
  7. Nuimtą kapą kruopščiai išvalykite dantų šepetėliu ir ir nuplaukite šiltu vandeniu, tinkamai nusausinkite ir saugokite tam skirtoje dėžutėje. Išsivalykite dantis ir kruopščiai praskalaukite burną nepalikdami balinimo gelio likučių;



Nenaudokite per didelio gelio kiekio, nes jis nepagerins balinimo procedūros. Venkite rūgštaus maisto ir gėrimo vartojimo (coca-cola, citrusinių vaisių gėrimų), nes jie gali sukelti padidintą jautrumą. Stipriai dažantys gėrimai (kava, arbata, raud. vynas), kaip ir rūkymas, yra vengtini, nes jie gali uždelsti balinimo procesą. Balinimo rezultatas pastebimas po 4-7 dienų. Priklausomai nuo danties struktūros, procedūra gali būti tęsiama keletą mėnesių ar metų. Procedūra ir toliau gali būti kartojama be jokio pašalinio poveikio danties struktūrai.

Laikymas: balinimo gelį laikykite šaldytuve, bet ne kameroje, saugokite nuo karščio ir tiesioginių saulės spindulių.

Jei dantys tapo labai jautrūs ar dantenos pradeda kraujuoti, balinkitės kas antrą – trečią vakarą. Būtinai naudokite dantų pastą skirtą jautriems dantims.

Susisiekite su mumis

Adresas:

Viršuliškių g. 75-22 Vilnius (įėjimas iš kiemo pusės)

Tel. nr.:

(8 5) 230 53 69

Siunčiama...
Jūsų laiškas buvo išsiūstas. Ačiū jums!