Radiologiniai tyrimai

Į paslaugą įeina

  • Dantų radiograma.

Rentgeno diagnostika

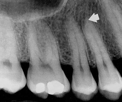
Radiogramos atliekamos mažo radioaktyvumo rentgeno aparatu. Radiogramos reikalingos įvertinti aplink dantis esančius audinius, nustatyti šaknų kanalų buklę prieš protezavimą, taip pat endodontinio gydymui ir jo kokybei įvertinti. Radiologinio tyrimo metu pacientas maksimaliai apsaugomas nuo tiesioginių ir išsisklaidžiusių rentgeno spindulių – naudojamas mažiausias spinduliuotės kiekis pakankamai diagnostikai.

Susisiekite su mumis

Adresas:

Viršuliškių g. 75-22 Vilnius (įėjimas iš kiemo pusės)

Tel. nr.:

(8 5) 230 53 69

Siunčiama...
Jūsų laiškas buvo išsiūstas. Ačiū jums!